பிறந்து 11 நாட்கள் ஆன குழந்தையின் வயிறு வீக்கம்! ஸ்கேனில் தெரிந்த மர்ம உருவம்! மருத்துவர்களின் வெற்றிகரமான அறுவை சிகிச்சை....



rare-fetus-in-fetu-case-egypt-baby-surgery

மருத்துவ உலகையே அதிர்ச்சியில் ஆழ்த்திய ஒரு அரிய மருத்துவச் சம்பவம் ஈஜிப்தில் இடம்பெற்றுள்ளது. புதிதாகப் பிறந்த குழந்தையின் வயிற்றில் மற்றொரு கரு வளர்ந்திருப்பது கண்டுபிடிக்கப்பட்டுள்ளது. இது மருத்துவ வரலாற்றில் அரிதான ஒரு நிகழ்வாக கருதப்படுகிறது.

அதிர்ச்சியூட்டிய வயிற்று வீக்கம்

ஈஜிப்தின் மன்சூரா பல்கலைக்கழக மருத்துவமனையில் 11 நாட்கள் வயது குழந்தையின் வயிறு அசாதாரணமாக வீங்கியதால் மருத்துவர்கள் கவலைக்குள்ளானார்கள். எந்தவித அறிகுறிகளும் இல்லாமல் வயிறு பெரிதாகி, குடும்பத்தினர் அவசரமாக மருத்துவமனைக்கு அழைத்துச் சென்றனர்.

அதிர்ச்சி தரும் பரிசோதனை முடிவுகள்

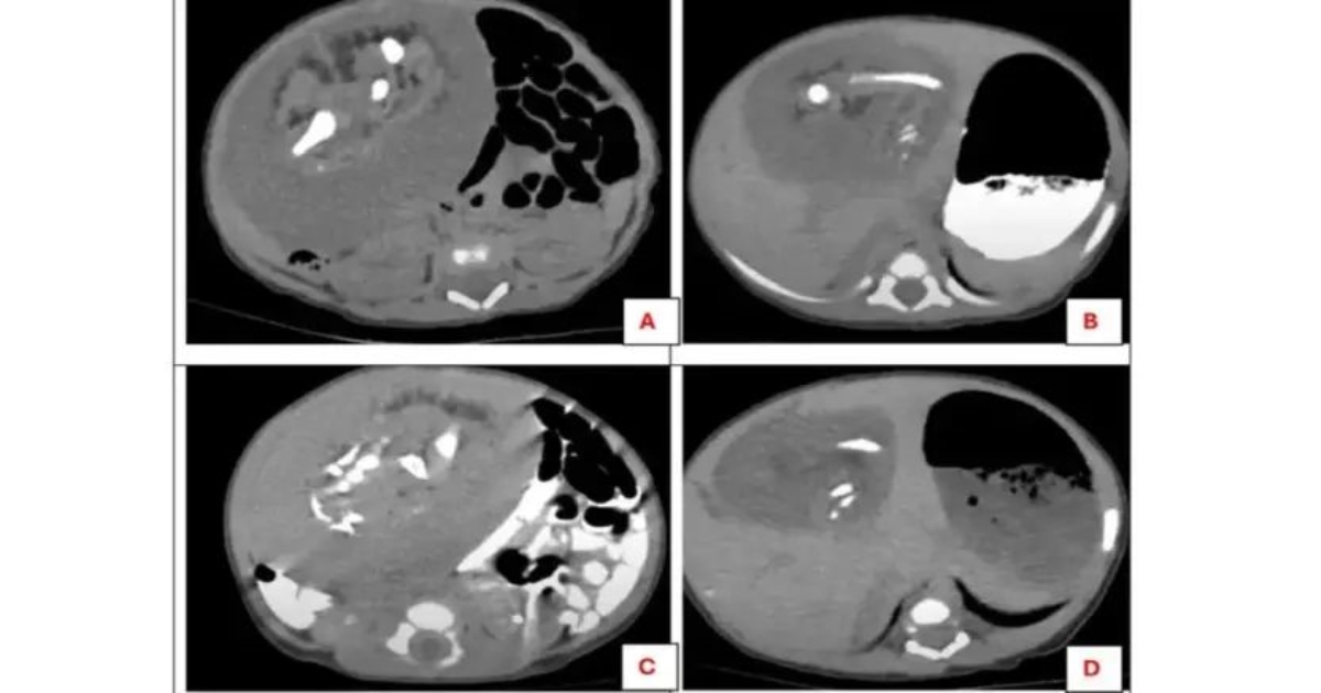
அல்ட்ராசவுண்ட் சோதனையில், 8×6 செ.மீ அளவிலான மென்மையான திண்மப்பொருள் கண்டறியப்பட்டது. அதன் பின் மேற்கொண்ட கம்ப்யூட்டர் டோமோகிராஃபி (CT) ஸ்கேன் மூலம் நீண்ட எலும்புகள், விலா எலும்புகள், முதுகெலும்பு, இடுப்பு எலும்புகள் மற்றும் மென்மையான திசுக்களுடன் ஒரு அமைப்பு இருப்பது தெரியவந்தது. இது ‘ஃபீடஸ் இன் ஃபீடு’ (Fetus in Fetu) எனப்படும் அரிய நிலை என மருத்துவர்கள் உறுதிப்படுத்தினர்.

இதையும் படிங்க: இரண்டு மாதமாக ஒரே வாந்தி, வயிற்று வலி! துடிதுடித்த 7 வயது சிறுவன்! ஸ்கேனில் சிறுகுடலில் தெரிந்த பெரிய முடிச்சு... அதிர்ச்சியில் பெற்றோர்!

வெற்றிகரமான அறுவை சிகிச்சை

இந்த அதிசயமான நிலை அக்டோபர் மெடிக்கல் ஜர்னலில் வெளியிடப்பட்டது. இரண்டு மணி நேரம் நீடித்த அறுவை சிகிச்சையின் மூலம் அந்த அமைப்பு வெற்றிகரமாக அகற்றப்பட்டது. நுண்ணோக்கி ஆய்வில், அது முழுமையான கரு திசுக்கள், தோல் மற்றும் குடல் திசுக்களை கொண்டிருந்தது உறுதி செய்யப்பட்டது.

சிகிச்சைக்குப் பிறகு, குழந்தை எந்தவித சிக்கல்களும் இல்லாமல் வழக்கம்போல் உணவு உட்கொண்டு ஆரோக்கியமாக உள்ளது. நான்கு நாட்களில் மருத்துவமனையிலிருந்து வீடு திரும்பிய குழந்தை தற்போது நலமாக உள்ளது. இந்த அற்புதமான சம்பவம் மருத்துவ உலகில் பெரும் வியப்பையும் ஆர்வத்தையும் ஏற்படுத்தியுள்ளது.

ஈஜிப்தில் நடைபெற்ற இந்த அதிர்ச்சி மருத்துவம் மனித உடலின் மர்மங்களை மீண்டும் வெளிச்சமிட்டதோடு, மருத்துவ முன்னேற்றத்தின் சக்தியையும் வெளிப்படுத்துகிறது.

 

இதையும் படிங்க: என்னது.... புதிதாக பிறந்த குழந்தையின் வயிற்றில் கரு வளர்ச்சி! அதிர்ச்சியில் உறைந்த மருத்துவர்கள்....